Skip to main content
Thomas Family Dentistry
We Love to See Your Smile
Thomas Family Dentistry
We Love to See Your Smile
Schedule an Appointment
Like us on Facebook
Visit us on Yelp
Watch our Youtube Videos
Leave a Google Review
Instagram
(724) 347-2722
3705 East State Street
|
Hermitage, PA 16148
Make a Payment - Patient Account Login
Text us! 1-833-675-8025
Home
About
Our Team
Technology
Office Pictures
Services
View All
Family Dentistry
Dental Crowns
Filling Restorations
Dental Implants
Cosmetic Dentistry
Implant Dentures
Root Canals
Extractions
Partial Dentures
Teeth Whitening
BOTOX®
Retainers
Teeth Grinding & Night Guards
Personalized Hygiene Care
Snap-On Smiles
Smile Gallery
Testimonials
Your First Visit
View Your First Visit
New Patient Information
Financial
FAQs
View All
Other
Dental Crowns
Filling Restorations
Dental Implants
Cosmetic Dentistry
Root Canals
Extractions
Partial Dentures
Teeth Grinding & Night Guards
Personalized Hygiene Care
Blog
Contact
Thomas Family Dentistry
>
Smile Gallery
>
Bonding Patients
Bonding Patients
Return to Smile Gallery
Previous
Next
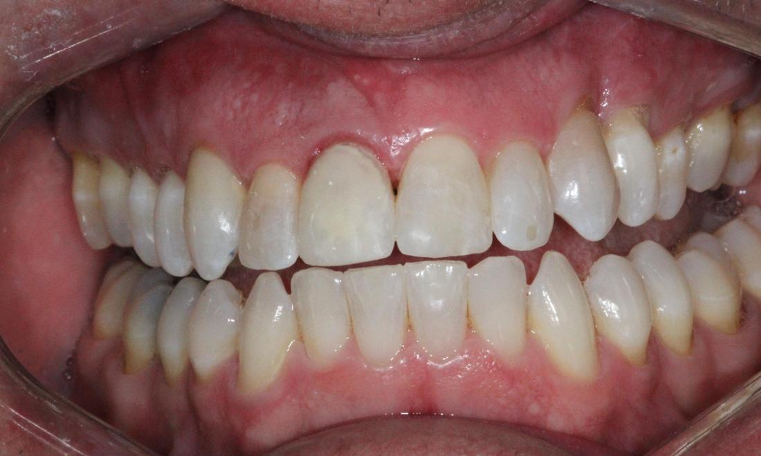
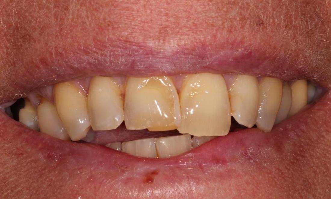
Bonded resin filling material was used to improve the appearance of these front teeth.
Place mouse over picture to pause
Before
After
Before
After
Improve your smile today – call our office!
Call Now!
OK!
×
×
Contact Us Today
Give Us A Call
Thomas Family Dentistry -
(724) 347-2722
Send Us an Email
Request an Appointment
Contact Us
Ready to Schedule an Appointment?
Book Online
Have Questions? Contact Us:
Required Field
Your Name:
Call:
Email:
Are you a new patient?:
Are you a?
New Patient
Current Patient
How would you like us to contact you?
Please choose
Email
Call
How did you hear about us?
Please choose
I'm an existing patient
Google/Bing
Mailer
Word of mouth
Social media
Other
Who Referred You?:
Appointment Preferences
Monday
Tuesday
Wednesday
Thursday
Friday
Your Message:
This site is protected by reCAPTCHA and the Google
Privacy Policy
and
Terms of Service
apply.
Sending...
×
This Patient's Experience
Loading Testimonial...
Loading Case...