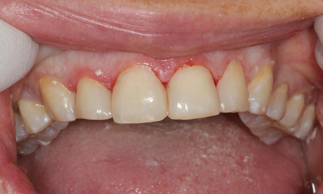
These patients have multiple teeth with staining and decay. Our office placed composite restorations (white fillings) after removing the decay, to improve the health of the teeth and surrounding gum tissue.
Place mouse over picture to pause
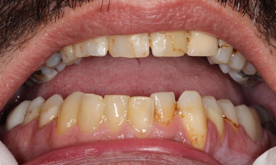
These patients have multiple teeth with staining and decay. Our office placed composite restorations (white fillings) after removing the decay, to improve the health of the teeth and surrounding gum tissue.