A procedure called cosmetic (dental) bonding restored this patient's front teeth. Dr. Thomas used composite resin, the same material she uses for tooth-colored dental fillings to give this patient back their smile!
Place mouse over picture to pause
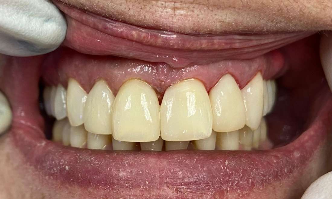
A procedure called cosmetic (dental) bonding restored this patient's front teeth. Dr. Thomas used composite resin, the same material she uses for tooth-colored dental fillings to give this patient back their smile!