Thomas Family Dentistry
We Love to See Your Smile

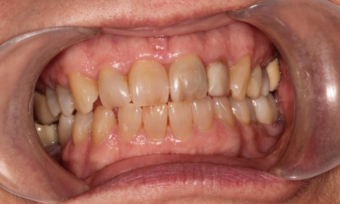
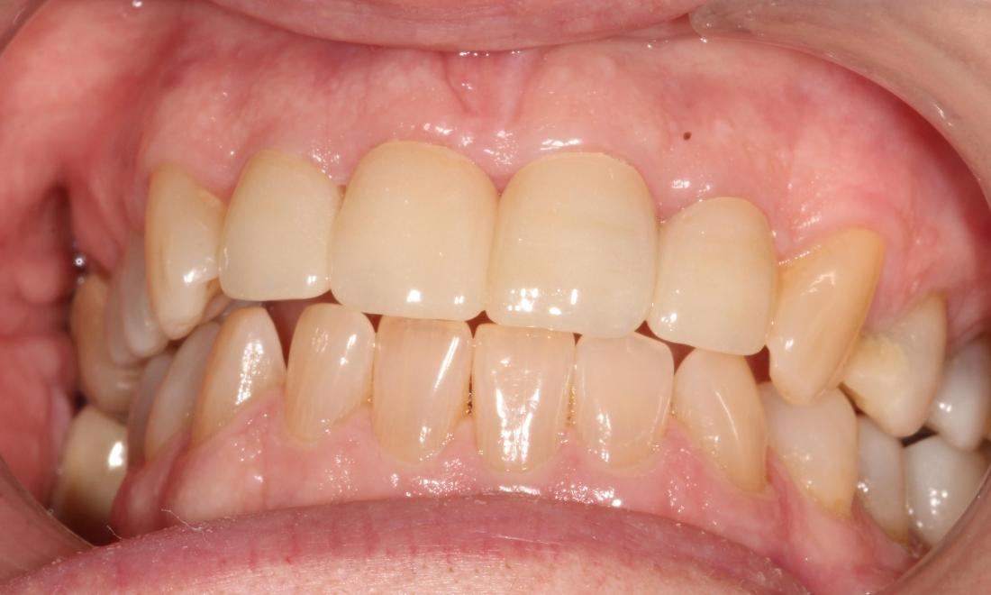
Cosmetic Veneers

Don't like the appearance of your smile? Don't let that deter you from sharing it. We can get you the smile you've always wanted.

Getting an appointment is fast and easy!
If you have difficulty using our website, please email us or call us at (724) 347-2722