Thomas Family Dentistry
We Love to See Your Smile

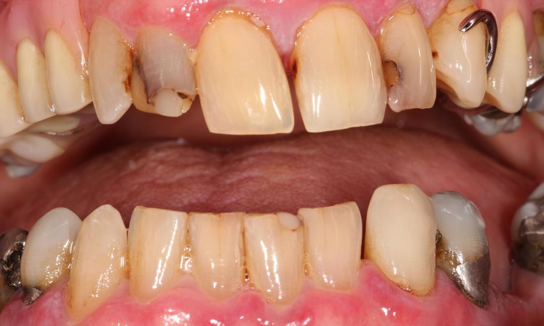
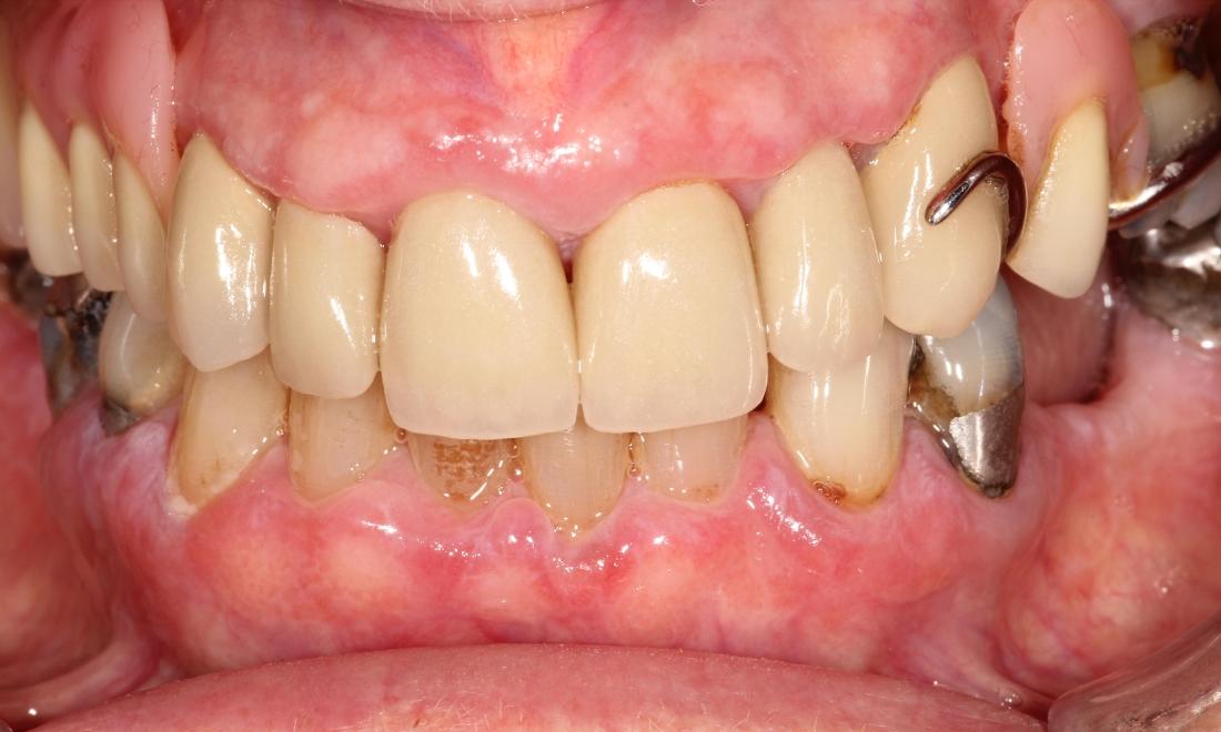
Crown Restorations

Upper (maxillary) crown work completed around upper partial denture. We removed the decay in these teeth, prepped them, and placed six anterior crowns for a beautiful result!

Ready to book an appointment?
If you have difficulty using our website, please email us or call us at (724) 347-2722