Thomas Family Dentistry
We Love to See Your Smile

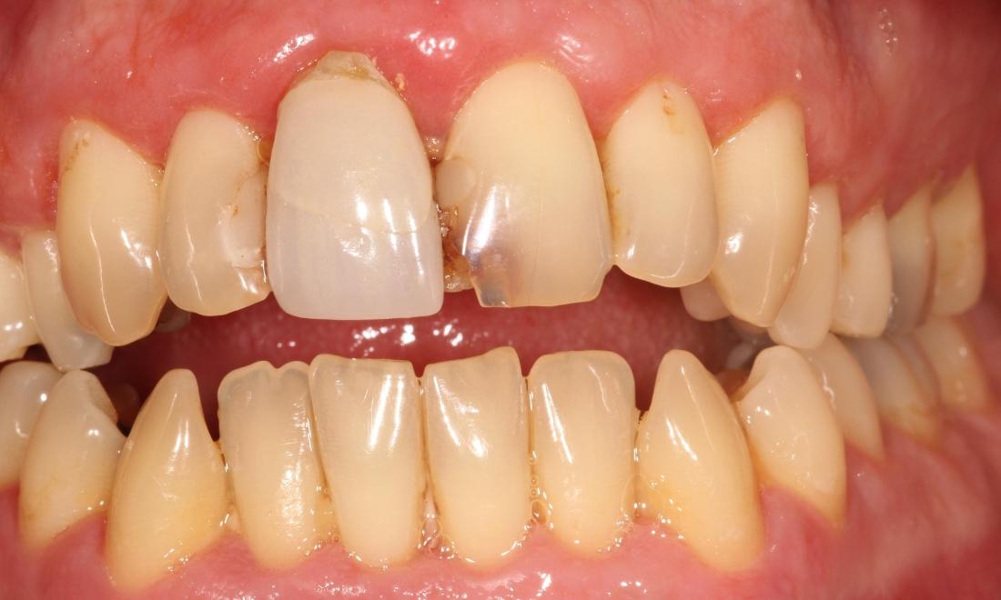
Crown Restorations

This patient presented with gross decay in the front teeth. We matched a good shade, removed the decay and restored the teeth with crown coverage. 

Ready to book an appointment?
If you have difficulty using our website, please email us or call us at (724) 347-2722