Thomas Family Dentistry
We Love to See Your Smile

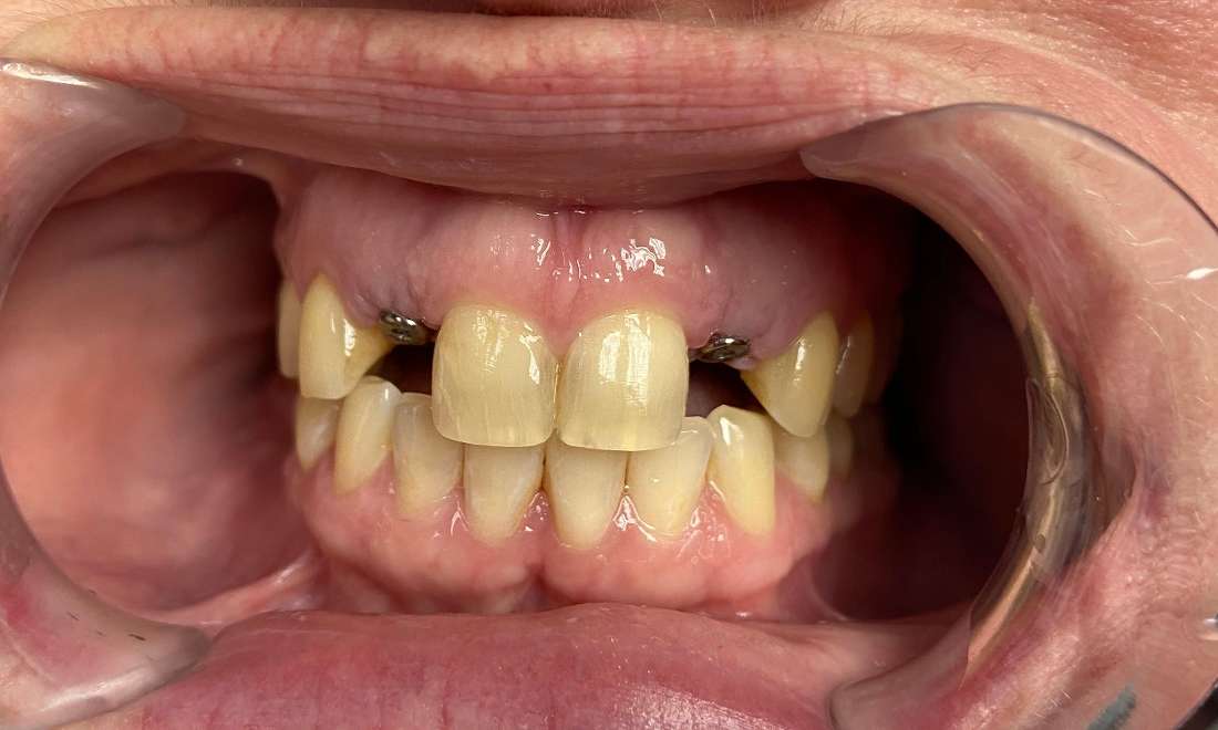
Dental Implant Before and After

Dr. Thomas restored this smile with two dental implants that delivered function and aesthetics for this patient. Now they can enjoy eating and smiling once again!

Learn More About Dental Implants in Hermitage, PA

Contact us at (724)347-2722 to learn more about what tooth implants can do for your smile. 

Related Services:

Dental Implants
Ready to book an appointment?
If you have difficulty using our website, please email us or call us at (724) 347-2722