Thomas Family Dentistry
We Love to See Your Smile

Maintenance is key!

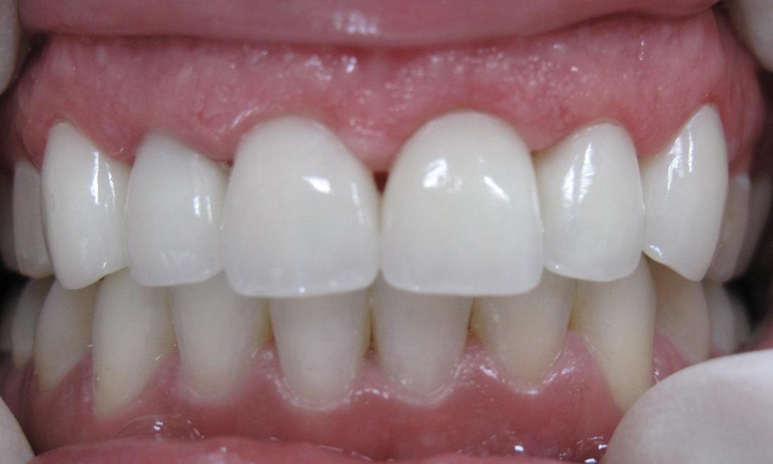
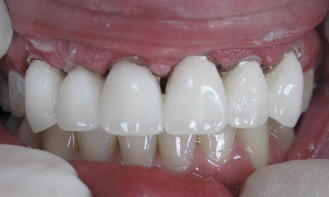
There's a science to our work! Many things go into restoring a tooth, whether it be a dental crown, a dental bridge or a filling. Margins must be contoured correctly, contacts must be closed and a long list of other aspects that must be met. Otherwise, you are at high risk for recurrent decay, food impaction and/or gum issues just to name a few. Keeping these restorations clean is just as important! We got this patient's upper bridge/crowns cleaned up and got their tissues back to health overall making the restorations look much more natural. The gums were able to heal for a more natural gumline. 

Getting an appointment is fast and easy!
If you have difficulty using our website, please email us or call us at (724) 347-2722