Thomas Family Dentistry
We Love to See Your Smile

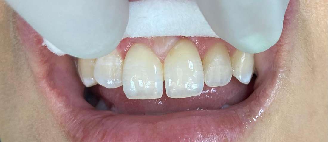
"Mind the Gap"

Dr. Thomas eliminated the gap between this patient's front teeth, for a more fluid, beautiful smile!

What Can We Do for Your Smile?

Contact Thomas Family Dentistry online or call us at (724) 347-2722 to learn more. 

Related Services:

Cosmetic Dentistry
Have Questions? Get in Touch
If you have difficulty using our website, please email us or call us at (724) 347-2722