Thomas Family Dentistry
We Love to See Your Smile

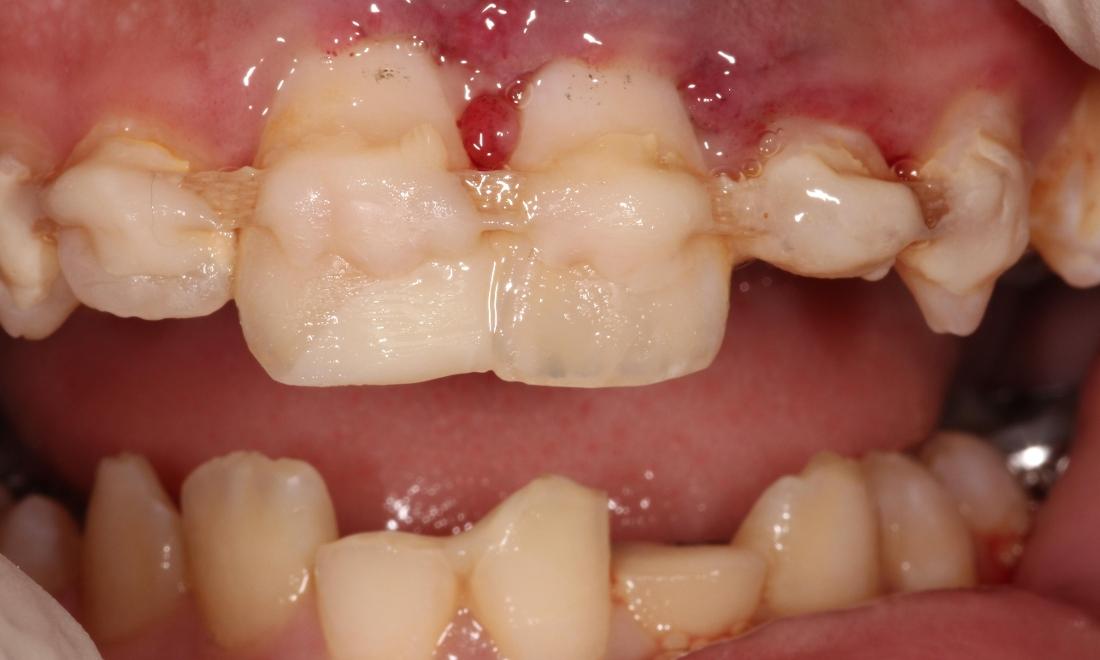
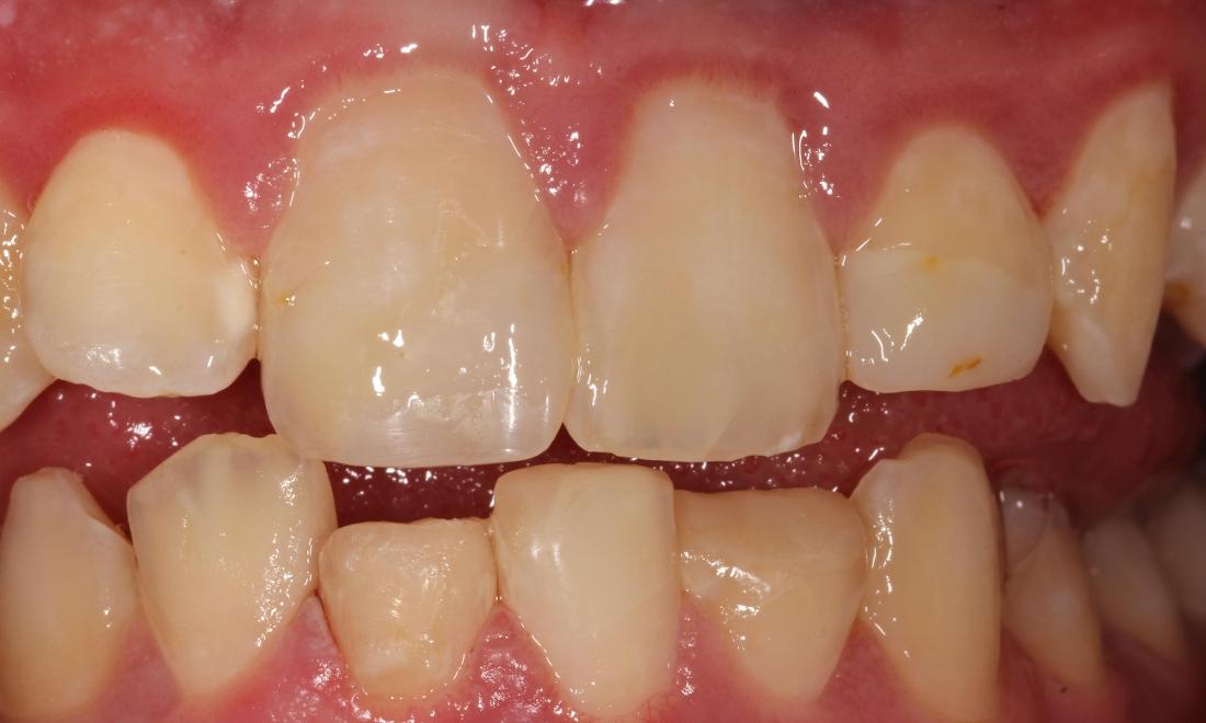
Restored tissue health!

Improve your dental health and ultimately improve your systemic health. We got this patient caught up on good oral hygiene and restored their gingival (tissue) health. Inflammation in the gums increases your risk for heart disease, Alzheimers and diabetes along with other systemic health links. Great improvement with this patient!

Have Questions? Get in Touch
If you have difficulty using our website, please email us or call us at (724) 347-2722